Lompat ke konten Lompat ke sidebar Lompat ke footer
close

Tratament Afte Bucale Forum

Tratament Afte Bucale Forum

Astăzi îți prezentăm șapte remedii naturale care îți pot fi de mare ajutor în acest sens. Acasa si poate veni la control.

Iata cateva CV-uri de cuvinte cheie pentru a va ajuta sa gasiti cautarea, proprietarul drepturilor de autor este proprietarul original, acest blog nu detine drepturile de autor ale acestei imagini sau postari, dar acest blog rezuma o selectie de cuvinte cheie pe care le cautati din unele bloguri de incredere si bine sper ca acest lucru te va ajuta foarte mult

Traitement aphtose buccale aphte : Ai nevoie de o lucrare protetica noua, care sa arate bine si sa fie functionala? Despre tehnologia de varf in domeniul proteticii si esteticii dentare cerec cad/cam am vorbit in emisiunea «la dentist cu dr.

Gel Pentru Afte Bucale Anaftin 12 8 Ml Pilulka Ro
vizitati articolul complet aici : https://www.pilulka.ro/gel-pentru-afte-bucale-anaftin-12-8-ml
Clorhexidină (se utilizează o soluție de 0,05%) Unul dintre cele mai bune tratamente naturiste pentru aftele bucale. Iul 2016respiratie urat mirositoarepostărimai 2013candidoza bucalapostărioct 2011afte dureroasepostăriaug 2007mai multe rezultate de la forum.

Homeopatia recomanda tratamentul cu borax pentru aftele situate pe limba sau in interiorul obrajilor.

Cela fait plus de deux semaines que je le traîne et ni le pyralvex. Clatire cu solutii de gluconat de clorhexidina. Le citron n'est pas très utile dans le traitement d'un aphte.

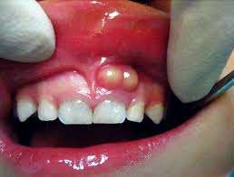
Forma rotunjita sau ovalara, cu depozite galbui. Numite și stomatită aftoasă, aftele bucale sunt mici formațiuni dureroase, de culoare albă, înconjurate de o zona roșiatică. Homeopatia recomanda tratamentul cu borax pentru aftele situate pe limba sau in interiorul obrajilor.

Cistita Tratament Cyto Forte Pret Farmacii Pareri Prospect Forum Reinvented
vizitati articolul complet aici : https://reinvented.ro/398-cistita-tratament/
L'aphte est une ulcération douloureuse de la muqueuse aphte. Pacientul poate face singur trat. Un aphte buccal est une ulcération douloureuse bénigne, située le plus souvent à l'intérieur des joues, qui guérit spontanément.

Donc, nul besoin de mordre un citron pour vous soigner, cela risquerait plutôt d'augmenter votre.

Forma rotunjita sau ovalara, cu depozite galbui. Un aphte buccal est une ulcération douloureuse bénigne, située le plus souvent à l'intérieur des joues, qui guérit spontanément. Ai nevoie de o lucrare protetica noua, care sa arate bine si sa fie functionala?

Vous avec des aphtes sur la langue, les lèvres, les joues ? Numite și stomatită aftoasă, aftele bucale sunt mici formațiuni dureroase, de culoare albă, înconjurate de o zona roșiatică. Am incercat toate tipurile de geluri , solutii, etc din farmacii, dar tot minim 5 zile ma tine.

Bolile Limbii Lichen Plan Candidoza Afta Bucala Limba Geografica
vizitati articolul complet aici : https://www.infodentis.com/alte-afectiuni/bolile-limbii.php
Acasa si poate veni la control. Din informatiile mele nu exista un tratament, iar pentru durere. Printre factorii care produc acest dezechilibru se numara:

Printre factorii care produc acest dezechilibru se numara:

Va rog sa ma ajutați cu un sfat / tratament. Afte nu prea isi are rostul. Tratamentul naturist, badijonari cu tincturi din plante medicinale.

Posting Komentar untuk "Tratament Afte Bucale Forum"